《北上拔智齒要唔要麻醉?》
近年唔少香港人都會選擇北上睇牙,同樣拔智齒都成為大家常討論嘅話題。不過,當有人問:「北上拔智齒要唔要麻醉呀?」其實呢條問題背後有好多考慮位,唔係淨係「痛唔痛」咁簡單。大家都知道,智齒生得位置好古怪,有時又會阻住其他牙,甚至令牙肉腫痛,所以一旦牙醫建議要拔,好多人都開始左考慮地點同麻醉方式。
首先,講下麻醉。一般拔智齒都會用局部麻醉——即係喺你要拔牙嗰個位打落少少麻醉藥,令你個位置冇乜感覺。細心啲嘅牙醫通常喺落針之前會同你講清楚,等你有心理準備。北上嘅牙科診所,其實同香港做法差唔多,只要係正規牙科中心,用嘅儀器同技術都唔輸蝕。局部麻醉通常足夠應付大多數拔智齒情況,但如果係比較複雜——例如智齒斜生、未完全長出或者貼住神經——咁有啲牙醫會建議用靜脈鎮靜麻醉,令你整個過程放鬆啲,唔會太緊張。
有啲人聽到要麻醉就會驚,擔心副作用或者之後會唔舒服。其實呢方面都唔使太擔心,只要醫生資歷夠,同你提前了解身體狀況,一般都唔會有大問題。特別係北上做牙科,現時好多地方設備都幾先進,有埋影像導引、電腦斷層掃描、消毒系統等,安全程度已經唔差。當然,自己都要問清楚醫生用咩麻醉藥、有冇需要做過敏測試,確保萬一有敏感都可以早啲應對。
另一個大家關心嘅位,就係麻醉後會唔會痛。講真,拔智齒過程如果麻醉到位,基本上只係感覺到「推推嚇」、「拗拗嚇」,唔會真係痛。不過,麻醉過咗之後多少都有啲酸脹,正常反應嚟。北上拔完智齒記得聽醫生

指示,可能要食抗生素或者止痛藥、唔好即刻食熱嘢、唔好用力漱口、仲要避煙避酒幾日。呢啲基本護理,做得好就可以避免感染,回復都快啲。
有啲朋友話北上拔智齒比香港「快手」,呢個其實同醫療系統安排有關。北上診所通常預約時間比較靈活,等候時間短,設備新,亦可能有更多選擇。對於怕痛又怕等嘅人嚟講,呢啲方便就好吸引。不過,去邊度拔都要留意安全。記住揀有正式執業牌照嘅牙科診所,最好睇下網上評論或者有冇熟人介紹,唔好只憑便宜或近。
麻醉以外,心理準備都好重要。好多時人一坐上牙醫椅,就開始緊張,手心出汗。想輕鬆啲,可以同醫生講:「我有啲怕痛,可唔可以溫柔啲?」牙醫聽到都會體諒,有時仲會播啲輕音樂,等你放鬆落嚟。拔智齒唔係大手術,但亦唔係完全冇風險,所以大家唔使死忍,覺得自己「硬淨」先係叻。麻醉其實係令你更安全同舒服。
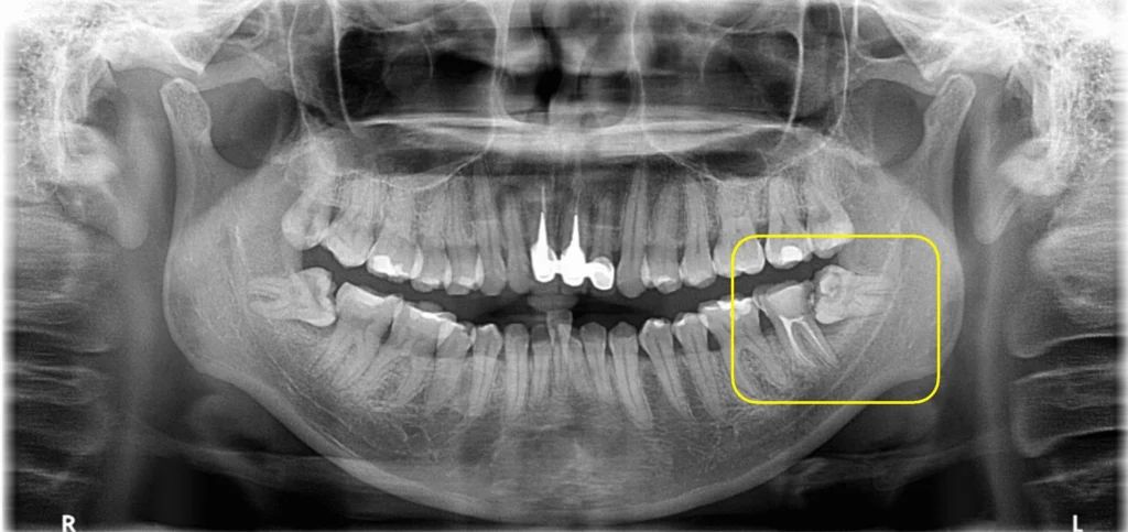
最後可講返一個小貼士。北上拔智齒之前,最好先喺香港照下X光,了解智齒位置同結構,帶去畀北上牙醫睇,更方便佢判斷要唔要麻醉、點樣做。拔完之後,休息夠、補水、唔好即刻大力咀嘢,傷口自然好得快。麻醉唔係可怕嘢,只要處理得好,拔智齒可以係一個相對輕鬆嘅過程。
總括嚟講,「北上拔智齒要唔要麻醉?」答案係——視乎情況,大部份人都要,因為係保障你安全同舒適。只要搵到合資格牙醫、有良好設備,麻醉唔止令你少痛,仲令整個體驗方便好多。最緊要係,唔好怕問、唔好怕了解,自己清楚啲先係最穩陣。拔智齒其實冇想像中恐怖,放鬆心情,揀啱地方,安全又安心。


